智能
图片
手机版
关于我们
热门搜索:
苹果
首页
新闻
今日头条
医界要闻
健康科普
权威解读
聚焦医改
曝光台
女人
女性保健
时尚女人
男人
男性保健
品味男人
育儿
备孕怀孕
育儿知识
早期教育
母婴用品
情感
减肥
饮食减肥
运动减肥
局部减肥
减肥方法
医学减肥
美容
护肤
美妆
美体
美发
整形
整形手术
微整形术
整形案例
专家访谈
养生
膳食养生
保健按摩
人群养生
养生常识
生活百科
中医
疾病
智能
图片
时尚女性
男人视觉
保健图库
身体探秘
医学纵览
孕育探秘
病态视觉
美女图库
社会百态
历史趣闻
首页
>
图片
>
病态视觉
> 内容
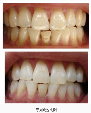
牙周病对比图(4)
发布时间:2018-06-13 来源:健康网
小
中
大
字号:
共5页:
上一页
1
2
3
4
5
下一页
图说天下
分享到:
×
织梦二维码生成器
相
关
案
例
肌无力症状图片
2018-06-13
膝骨关节炎
2018-06-13
美女婴心脏长体外手术后平安出院
2018-06-13
苔藓型外阴白斑
2018-06-13
脊柱侧弯患者症状图
2018-06-13
小儿鱼鳞病
2018-06-13
帕金森病人图片
2018-06-13
牙周病对比图
2018-06-13
时尚女人
育儿知识
生活百科
减肥方法
女人一到夜里就湿了 晚上老出汗咋整呢?
女人一旦爱一个人便会失去自我
女人真的知道吗?穿高跟鞋的技巧你知道哪些?
潮流服饰 黄色搭配起来也很美
女性健康来源于这处健康与否
吴莫愁被传已隐婚新郎不是哈林
豪门阔太胡静时尚大片
百科知识大全
黄瓜怎么吃有利于控制血糖?
推荐阅读
今日头条
1
脊柱侧弯患者症状图
2
肌无力症状图片
3
膝骨关节炎
4
美女婴心脏长体外手术后平安出院
5
苔藓型外阴白斑
6
面瘫症状表现图
每日精选
猜你喜欢
令人闻风丧胆的恐怖疾病
苔藓型外阴白斑
膝骨关节炎
甲亢早期症状图
面瘫症状表现图
精彩图片
肌无力症状图片
膝骨关节炎
美女婴心脏长体外手术后平安出院
苔藓型外阴白斑
热门标签
为什么
学着点
男人
不娶
初恋
女友
小心丢命!
好神奇
男人不爱
如何自爱
中医养生
这
6种
体质
小心